从11月7日夜里开始,沈阳迎来了今年冬季第一场也是自2007年以来,罕见的一场大雪。为了保障极端天气急诊患者的诊疗安全,开发区人民医院提前制定了应急预案。果然第二天,妇产科就来了一位这样的急症患者。

11月8日下午,正在上班的王女士突然感觉下腹疼痛,逐渐加重,身边的同事见状不好,赶紧带着她来到开发区人民医院妇产科。
接诊医生赵智敏见到王女士的时候,发现她不但下腹剧痛,而且腹部有明显的包块,面色惨白,濒临休克,是非常明显的失血表现。于是立即请妇产科主任葛静前来会诊。

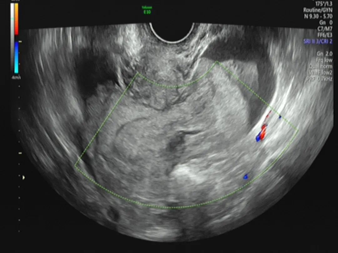
葛静主任见到患者后,根据经验判断患者很可能出现了腹腔内大出血,决定马上启动应急预案,组织团队进行救援。赵红艳护士长带领护理团队紧张有序地完成了输血、补液、导尿、心电监护等必要环节;葛静主任技术娴熟地进行后穹隆穿刺,发现有明显出血,这也验证了她的判断,超声显示腹腔内出血量大,已经看不到出血点;尿液样本送到检验科1分钟后,就出了结果——HCG阳性。
至此完全可以确诊,王女士是宫外孕导致的腹腔内大出血!情况十分危急,患者随时有生命危险!葛主任决定立即手术,张美娜护士长协调住院处开通绿色通道,同时与输血科罗军主任、麻醉科刘秀才主任,以及手术室高金玲护士长等相关科室同事进行协调沟通,确保做好充分术前准备。

超声显示腹腔内有大面积出血
根据王女士的指征,需要进行开腹手术,因为开腹手术视野更清晰,可以更方便地找到出血位置。但葛静主任考虑到患者年轻,以及工作需求等实际情况,决定采用损伤小、恢复快的腹腔镜微创手术。虽然微创手术具有微观视野更清晰,操作更精准的优势,但对于腹腔内大出血的情况来说,反倒不利用操作。葛主任与妇产科团队凭借多年经验,1分钟完成打孔下镜探查,很快找到出血位置并迅速完成止血,手术也十分顺利地完成。



为了更好地照看刚做完手术的王女士,同时方便随时抢救其他急症患者,防止大雪封路耽误治疗,葛主任当天晚上全程值班守护。这一切都被后赶来的王女士丈夫看在眼里,他对开发区医院妇产科表示非常感激,逢人就说,开发区里面能有这么一家医德高尚医术精湛的医院,是我们最大的福分,可以说是开发区医院的这些医生护士给了妻子的第二次生命!

妇产科团队查看王女士术后恢复情况
葛静主任表示,我们妇产科平时会定期进行急救应急演练,预报这场大雪后,医院输血科就提前从血站取血,以备急用。这位王女士,从妇产科急诊室到进入手术室,全程仅用10多分钟。患者能够得到非常及时地救治,既是我们大家平时努力的结果,也得益于全院相关科室的通力协作!患者和家属对我们的感谢,就是对我们最大的褒奖!